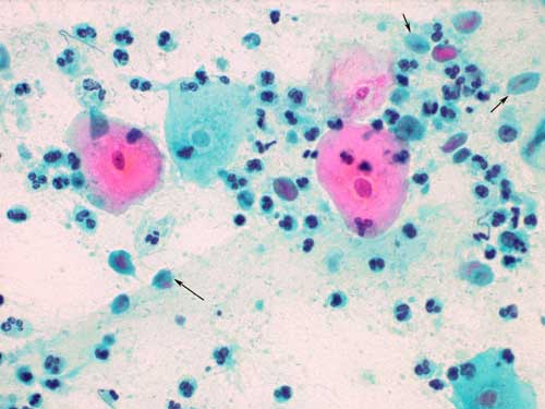
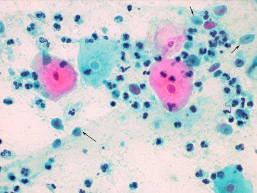
Trich1
What is an STI or Sexual Transmitted Infection?
You can get an STI by sexual intercourse but also through oral sex, anal sex or…
You can get an STI by sexual intercourse but also through oral sex, anal sex or…