☰
Women on Waves
Women on Web: to obtain a safe abortion with pills
Women on Waves
Language: Polski
Kim jesteśmy?
Campaigns
Media
Become Active
Sex, Abortion, & Birth
Resources
Apoie-nos
Contact
Sign up for newsletters
info@womenonwaves.org
Share this page
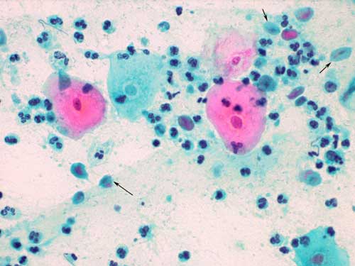
Trich1
Pobierz JPG – 25.4 KB
Share this page
Choroby przenoszone drogą płciową
Choroby te są infekcjami przenoszonymi podczas kontaktów płciowych.Do…