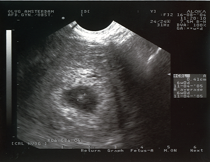
Ultrasound at 28 days
Ultrasound picture of a 4-week old pregnancy. On the right you can read the size: 0,41 cm. This means that the mother is about 12 days over time. If a pregnancy like this is unwanted, we can end it…

Ultrasound at 28 days

Ultrasound picture of a 4-week old pregnancy. On the right you can read the size: 0,41 cm. This means that the mother is about 12 days over time. If a pregnancy like this is unwanted, we can end it on our ship when outside the 12 mile zone.
copyright 2004 Women on Waves.

Scaricare JPG – 296.2 KB