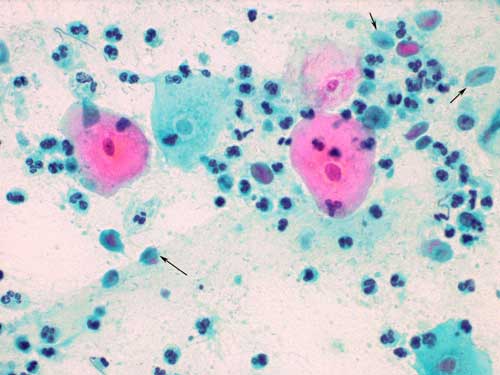
Trich1
Que est un MST ou Maladie Sexuellement Transmissible?
Une Maladie Sexuellement Transmissible est presque toujours la conséquence d'un…
Une Maladie Sexuellement Transmissible est presque toujours la conséquence d'un…