☰
Women on Waves
Women on Web: to obtain a safe abortion with pills
Women on Waves
Language: हिन्दी
Wie zijn wij?
Campaigns
Pers
Become Active
Sex, Abortion, & Birth
Resources
Support
Contact
Sign up for newsletters
info@womenonwaves.org
Share this page
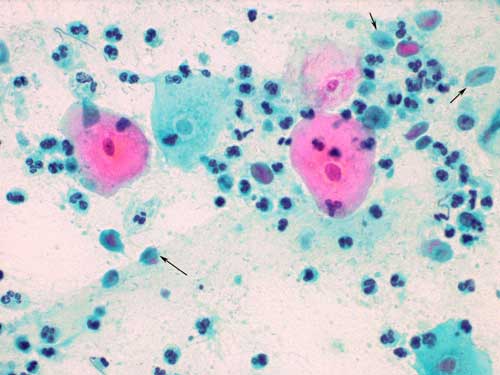
Trich1
İndir JPG – 25.4 KB
Share this page
Wat is een SOA of sexueel overdraagbare aandoening?
SOA zijn infecties die door seksueel contact worden overgebracht. Het rubber…